Orbitaskader er blant de vanligste skadene innenfor maxillofacial traumatologi og kan føre til nedsatt synsfunksjon og/eller estetiske endringer. Denne artikkelen tar for seg akutte problemstillinger knyttet til orbitaskader, inkludert orbitafrakturer, inneklemming av ekstraokulær muskulatur, retrobulbære hematomer og øyeskader. Videre beskrives hvordan disse skadene bør håndteres for å redusere risikoen for sekveler.
Orbitaskader omfatter skader i øyeregionen, inkludert frakturer, bløtvevsskader og skader på selve øyet og dets omkringliggende vev. Skadene oppstår ved traume mot orbita, for eksempel ved trafikkulykker, sportsskader eller vold. Ved mistanke om orbitaskade bør det gjennomføres en grundig anamnese og klinisk undersøkelse, supplert med relevant radiologisk undersøkelse. Den kliniske undersøkelsen ved orbitaskade bør inkludere inspeksjon av selve øyet og periorbitalt område, palpasjon av orbitaskjelettet og undersøkelse av visus, øyemotilitet og pupiller. Ved mistanke om orbitafraktur bør det rekvireres CT-ansiktsskjelett med tynne snitt (Tabell 1).
Orbitafrakturer
Orbita er en benet kavitet i kraniet som omslutter og beskytter øyet og dets nærliggende strukturer (n. opticus, ekstraokulær muskulatur, fett, kar, tårekjertel, tåresekk og mindre nerver). Orbitas anatomi er kompleks og avgrenses av syv forskjellige bein som sammen danner en pyramidelignende form med basen vendt ut mot ansiktet (Figur 1). Orbitas benete strukturer deles inn i gulv, tak, lateral-, og medialvegg. Skjelettet i gulvet og medialveggen er spesielt tynt og er derfor hyppigere utsatt for frakturer (1). I tillegg har hvert øye fire rette og to skrå øyemuskler som er festet til øyets senehinne (Figur 2 og 3).

FIGUR 2 og 3: Oversikt over ekstraokulære muskler i coronal- og sagittalplan. Illustrert av Selma Evenstad.
Årsaken til at orbitafrakturer oppstår kan forklares av to teorier: den hydrauliske teorien og buckling-teorien. Ifølge den hydrauliske teorien oppstår frakturer på grunn av press mot bulbus med påfølgende trykkøkning som overføres til skjelettet. Buckling-teorien hevder derimot at trykk mot orbitakanten eller os zygomaticus gir kraftoverføring gjennom orbita, med påfølgende fraktur uten direkte trykk på øyet. Trolig kan begge forklaringsmodellene spille en rolle, avhengig av traumemekanismen (2-4).
Vanlige symptomer ved orbitafrakturer er periorbital hevelse, subkonjunktival blødning og smerte. Frakturer i orbitagulvet fører ofte til infraorbital hypoestesi, som følge av affeksjon av n. infraorbitalis. I den akutte fasen kan dobbeltsyn oppstå på grunn av intraorbital hevelse, som medfører endret posisjon av bulbus. Dobbeltsyn kan også oppstå ved frakturer som fører til volumøkning i orbita, kjent som blowout-frakturer. Disse kan gi enoftalmus (innsunket øye) eller forflytning av øyet i kaudal retning (hypoglobus), som begge kan være estetisk skjemmende. I tillegg kan dobbeltsyn oppstå som følge av redusert bevegelighet av øyet. Dette kan skyldes tilhefting eller skade på ekstraokulær muskulatur eller annet intraorbitalt vev i nærheten av frakturender, eller som følge av skade på nerver som forsyner de ekstraokulære musklene.
Orbitafrakturer som har resultert i dobbeltsyn på grunn av enoftalmus (øyet synker innover i orbita), hypoglobus (øyet forflyttes kaudalt i orbita) eller redusert øyebevegelighet på grunn av tilhefting av periorbitalt vev, bør vanligvis opereres innen to uker. Ved usikkerhet om indikasjon for kirurgisk behandling kan voksne pasienter med slike funn trygt kontrolleres en ukes tid etter skadetidspunkt, uten risiko for dårligere prognose (5).
Orbitafrakturer hos barn og unge
Ansiktsskjelettet hos barn og unge er elastisk og ved traume mot orbita er det risiko for såkalt «trapdoor-fraktur» (6-8). Ved denne type fraktur vil traume mot orbita gi en forbigående dislokasjon av benet, før det gjenopptar sin opprinnelige posisjon. Dermed vil herniert intraorbitalt vev (fett, bindevev og ekstraokulær muskulatur) kunne inneklemmes i frakturspalten (Figur 4). Inkarserering av muskel kan resultere i iskemi med påfølgende fibroseutvikling og permanent dobbeltsyn (7).
Til tross for inkarserering av muskulaturen, har disse pasientene ofte beskjedne kliniske funn med fravær av hevelse. Tilstanden blir derfor også kalt «white-eye syndrome». Grundig undersøkelse av øyebevegelighet kan likevel avdekke dobbeltsyn og motilitetsbegrensninger grunnet inneklemming av ekstraokulær muskel, oftest m. rectus inferior (9). I tillegg kan inneklemmingen føre til kvalme og oppkast, bradykardi og synkope på grunn av aktivering av den okulokardiale eller trigeminovagale refleksen (10).
Mistenkt inneklemming av ekstraokulær muskulatur ved orbitafrakturer hos barn og unge må behandles så raskt som mulig, da forsinket behandling over 24-48 timer kan gi permanent redusert øyebevegelighet og diplopi (11, 12). Tidlig diagnostikk og rask kirurgisk behandling er derfor avgjørende, spesielt fordi kontraktur av ekstraokulær muskulatur er vanskelig å korrigere sekundært (13, 14). Foretrukket kirurgisk tilgang er transkonjunktival incisjon med subperiostal frilegging av frakturen. Herniert bløtvev reponeres før man eventuelt dekker området med resorberbar plate av polydioxanon (PDS) (15).
Orbitalt kompartmentsyndrom
Orbita- og zygomaticusfrakturer kan gi retrobulbær blødning med påfølgende intraorbital trykkstigning, såkalt kompartmentsyndrom. Dette er en akutt tilstand som oftest oppstår etter traumer, men tilstanden kan også oppstå etter øyekirurgi, ved infeksjon, tumor eller ved spontan blødning (16, 17). Antikoagulerte pasienter er særlig utsatt for kompartmentsyndrom (18).
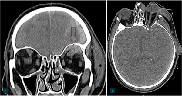
Ved høyt trykk i orbita vil sirkulasjon i intraorbitale arterier og vener avta. Dette kan føre til irreversibel skade på netthinnen eller n. opticus. Nedsatt visus, påvirket fargesyn, smerter, frempressing av øyet (proptose), påvirket pupillerefleks, oftalmoplegi samt kvalme og oppkast kan alle være tegn på økt intraorbitalt trykk (19). Retrobulbære hematomer kan påvises av CT-undersøkelse, som også kan avdekke eventuell proptose og strekk på n. opticus (Bilde 1) (20). Tilstanden krever rask behandling, da irreversibel skade på netthinnen og synsnerven kan skje innen 60-100 minutter (21-24).

BILDE 1: CT ansiktskjelett. A) Venstresidig zygomafraktur (ikke synlig) med tilgrensende retrobulbær blødning (markert med rød pil).
B) I axialplan sees typisk konisk utseende «tenting» av bulbus hos samme pasient. Samtykke til publisering av CT-bilder er innhentet fra pasienten.
Orbita er et avgrenset rom, og lateral kantotomi og kantolyse avlaster det intraorbitale trykket ved at øyet får lov til å falle fremover (17). Inngrepet kan utføres i lokalbedøvelse og har lav risiko for komplikasjoner hvis korrekt utført. Ved manglende respons på kantotomi og kantolyse må man også vurdere å evakuere det retrobulbære hematomet (25). Dette gjøres i generell anestesi.
Øyeskader
Øyeskader forekommer hos opp til 20 % av pasienter med ansiktsfraktur og bør derfor vurderes rutinemessig hos alle pasienter som har vært utsatt for ansiktstraume (26). Forekomsten varierer avhengig av frakturtype og traumemekanisme (27). Spesielt kompliserte frakturer er assosiert med høyere risiko for øyeskader, som kan være alvorlige og potensielt synstruende. Tidlig identifisering av øyeskader er avgjørende for å forhindre varig skade (26).
De mest vanlige øyeskadene er subkonjunktival blødning, traumatisk hyphema (blod i fremre øyekammer), samt netthinnerift og akutt vinkelblokk (trykkøkning på grunn av hindret drenasje av kammervæske) (26).
Pasienter med redusert visus, synsfeltutfall, «fluer» og lysglimt gir mistanke om alvorlig øyeskade og må konfereres akutt med øyelege. Tilsvarende gjelder også ved skader på tåreapparatet. Øvrig ansiktsskade henvises deretter til avdeling med kompetanse på ansiktstraumatologi (28).
Konklusjon
Orbitaskader kan gi betydelige funksjonelle og estetiske sekveler. Orbitafrakturer hos barn og unge med inneklemming av ekstraokulær muskel, orbitalt kompartmentsyndrom og alvorlige øyeskader må håndteres raskt for å hindre sekvele.
Referanser:
1. Koenen L, Waseem M. Orbital Floor Fracture. StatPearls. Treasure Island (FL): StatPearls Publishing Copyright © 2025, StatPearls Publishing LLC.; 2025.
2. Smith B, Lisman RD, Simonton J, et al. Volkmann's contracture of the extraocular muscles following blowout fracture. Plast Reconstr Surg. 1984;74(2):200–16.
3. Waterhouse N, Lyne J, Urdang M, et al. An investigation into the mechanism of orbital blowout fractures. Br J Plast Surg. 1999;52(8):607–12.
4. Ahmad F, Kirkpatrick NA, Lyne J, et al. Buckling and hydraulic mechanisms in orbital blowout fractures: fact or fiction? J Craniofac Surg. 2006;17(3):438–41.
5. Damgaard OE, Larsen CG, Felding UA, et al. Surgical Timing of the Orbital "Blowout" Fracture: A Systematic Review and Meta-analysis. Otolaryngol Head Neck Surg. 2016;155(3):387–90.
6. Cena P, Raco I, Roccia F, et al. An 11-year multicentric surgical experience on pediatric orbital floor trapdoor fracture: A World Oral Maxillofacial Trauma (WORMAT) project. J Stomatol Oral Maxillofac Surg. 2025;126(1):102033.
7. Hsieh P-J, Liao H-T. Outcome Analysis of Surgical Timing in Pediatric Orbital Trapdoor Fracture with Different Entrapment Contents: A Retrospective Study. Children. 2022;9(3):398.
8. Døving M, Lindal FP, Mjøen E, et al. Orbital fractures. Tidsskr Nor Laegeforen. 2022;142(6).
9. Saggese NP, Mohammadi E, Cardo VA. The 'White-eyed' Orbital Blowout Fracture: An Easily Overlooked Injury in Maxillofacial Trauma. Cureus. 2019;11(4):e4412.
10. Bora V, Sood G, Dunville LM, et al. Oculocardiac Reflex. StatPearls. Treasure Island (FL): StatPearls Publishing Copyright © 2025, StatPearls Publishing LLC.; 2025.
11. Wei LA, Durairaj VD. Pediatric orbital floor fractures. J aapos. 2011;15(2):173–80.
12. Gerber B, Kiwanuka P, Dhariwal D. Orbital fractures in children: A review of outcomes. Br J Oral Maxillofac Surg. 2013;51(8):789–93.
13. Rosli AH, Nordin MH, Embong Z, et al. White-eyed blowout fracture, child in danger: A case report. Malays Fam Physician. 2022;17(1):78–81.
14. Grob S, Yonkers M, Tao J. Orbital Fracture Repair. Semin Plast Surg. 2017;31(1):31–9.
15. Oppenheimer AJ, Monson LA, Buchman SR. Pediatric orbital fractures. Craniomaxillofac Trauma Reconstr. 2013;6(1):9–20.
16. Christie B, Block L, Ma Y, et al. Retrobulbar hematoma: A systematic review of factors related to outcomes. J Plast Reconstr Aesthet Surg. 2018;71(2):155–61.
17. Ballard SR, Enzenauer RW, O'Donnell T, et al. Emergency lateral canthotomy and cantholysis: a simple procedure to preserve vision from sight threatening orbital hemorrhage. J Spec Oper Med. 2009;9(3):26–32.
18. Berg BI, Flury E, Thieringer FM, et al. Retrobulbar haematoma in the era of anticoagulants. Injury. 2019;50(10):1641–8.
19. Murali S, Davis C, McCrea MJ, et al. Orbital compartment syndrome: Pearls and pitfalls for the emergency physician. J Am Coll Emerg Physicians Open. 2021;2(2):e12372.
20. Kondoff M, Nassrallah G, Ross M, et al. Incidence and outcomes of retrobulbar hematoma diagnosed by computed tomography in cases of orbital fracture. Can J Ophthalmol. 2019;54(5):606–10.
21. Kumar S, Blace N. Retrobulbar Hematoma. StatPearls. Treasure Island (FL): StatPearls Publishing Copyright © 2025, StatPearls Publishing LLC.; 2025.
22. Kloss BT, Patel R. Orbital compartment syndrome from retrobulbar hemorrhage. Int J Emerg Med. 2010;3(4):521–2.
23. Amagasaki K, Tsuji R, Nagaseki Y. Visual recovery following immediate decompression of traumatic retrobulbar hemorrhage via transcranial approach. Neurol Med Chir (Tokyo). 1998;38(4):221–4.
24. Elghannam M, Hassan BA, Shams N, et al. Retrobulbar Hematoma: Presentation, Management, and Visual Outcomes. J Craniofac Surg. 2025;36(2):486–90.
25. Desai NM, Shah SU. Lateral Orbital Canthotomy. StatPearls. Treasure Island (FL): StatPearls Publishing Copyright © 2025, StatPearls Publishing LLC.; 2025.
26. Kramer V, Vounotrypidis E, Steinkohl C, et al. Retrospective evaluation of ocular injuries in fractures of the zygomaticoorbital complex in a level I trauma center: is primary specialized ophthalmologic examination always necessary? Int Ophthalmol. 2025;45(1):199.
27. Barry C, Coyle M, Idrees Z, et al. Ocular findings in patients with orbitozygomatic complex fractures: a retrospective study. J Oral Maxillofac Surg. 2008;66(5):888–92.
28. Richani K, Do TH, Merritt HA, et al. Screening Criteria for Detecting Severe Ocular Injuries in the Setting of Orbital Fractures. Ophthalmic Plast Reconstr Surg. 2019;35(6):609–14.