Den tause luftlekkasjen – en sjelden årsak til pneumomediastinum
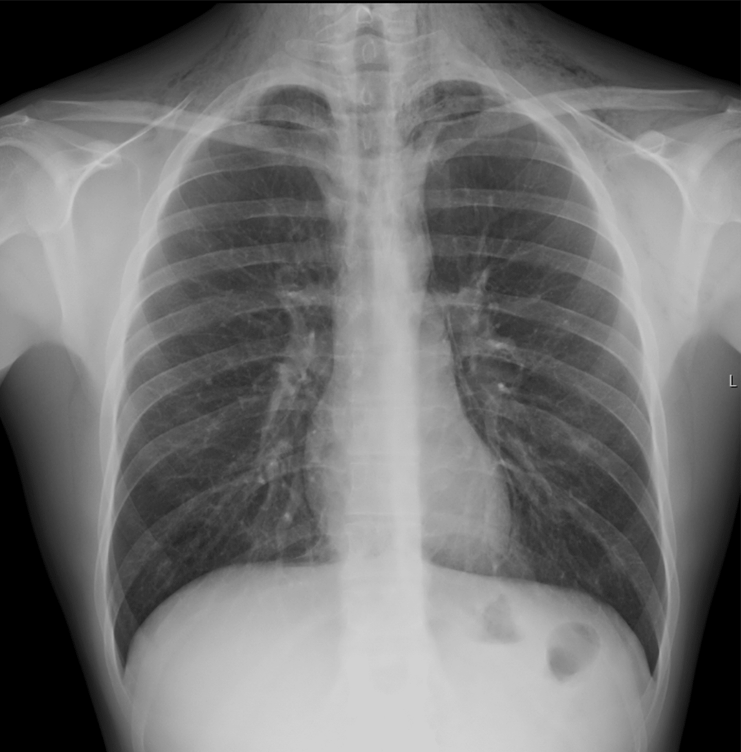
Pneumomediastinum er en sjelden, men viktig differensialdiagnose ved halshevelse og thorakale smerter. Tilstanden kan oppstå spontant eller sekundært til traume, kirurgi eller underliggende sykdom. Den vanligste patofysiologiske mekanismen er Macklins effekt, der økt intralveolært trykk fører til ruptur av alveolene og luftlekkasje langs bronkovaskulære strukturer til mediastinum (1). Spontan pneumomediastinum forekommer hyppigst hos unge voksne og forbindes med hoste, anstrengelse, oppkast eller Valsalvas [...]
Fra aktuelt temanummer
Ernæring og habilitering ved kirurgi for inflammatorisk tarmsykdom
Katabolisme, akutt sykdom og IBD Pasienter med IBD har ofte ernæringsutfordringer i kombinasjon med at sykdomsaktiviteten deres metabolsk setter dem i en katabol tilstand, der behandlere bør forstå de underliggende patofysiologiske [...]
Perianal Crohns
Opptil 42 % av pasienter med Morbus Crohn utvikler perianale plager som kan gi betydelig morbiditet, redusert livskvalitet og langvarige behandlingsforløp (1). For kirurger innebærer dette en kompleks balansegang: infeksjonskontroll, medikamentell [...]
AKTUELT
Reisebrev fra Wroclaw
Øsofagusatresi er en sjelden medfødt tilstand som opereres i nyfødtperioden. Tradisjonelt har operasjonen blitt gjort via torakotomi. Torakoskopisk operasjon blir stadig mer utbredt, men er teknisk krevende. Bilde 1. Utenfor Wroclaw University of Medicine i Polen. Fra venstre: [...]
Reisebrev fra Norwegian International Hernia Team
I 2024 etablerte undertegnede, sammen med Odd Mjåland og Hans Gunnar Botnen, non-profit organisasjonen «Norwegian International Hernia Team (NIHT)» (figur 1). Formålet er å etablere samarbeid med lokale sykehus i lav- og mellominntektsland for å drive produksjon og lokalutdanning i [...]
MIN PHD
Congenital Duodenal Obstruction: Trends in treatment and patient-reported outcomes
Det fødes 5-10 barn med medfødt duodenal obstruksjon (CDO) i Norge hvert år. CDO er en medfødt misdannelse i duodenum som nesten alltid må opereres kort tid etter fødsel for at barnet skal overleve. Nye behandlingsmetoder har blitt tilgjengelige [...]





